#高層次超音波 #台兒 #台兒高層次 #台兒診所 #台兒高層次超音波 #懷孕 #孕婦檢查 #台北高層次推薦
之前懷Mia時候,來不及做高層次,當時在桃園聖保祿的醫生人很好,產檢時,幫我照手跟腳趾頭,五官...等
也告知我週數太大也來不及預約,目前看起來寶寶都很健康喔!
有了第一胎的經驗,加上產檢醫生的提醒,要我20~24週要提早預約高層次超音波
上網查了很多人的意見,在台北台兒跟禾馨中取捨,兩間價錢差不多,台兒貴一點點
爬了很多文台兒還蠻受大家喜歡的,網路評價~照的很仔細、細心雖然沒有3D4D照片,但很值得
禾馨多了3D4D圖,在媽媽界也是蠻受歡迎,但有些人說照得比較沒那麼仔細,有點太商業化
台兒捷運站可以到達,禾馨要搭計程車比較麻煩,最後我選了照得比較仔細,交通比較方便的台兒
台兒診所 高層次超音波 //
需預約!!!
地址: 台北市中山區中山北路二段162號4樓 ;台北捷運中山國小站步行五分鐘
營業時間:8:00~17:00 周日公休
電話: 02-2586-7873
高層次超音波
建議週數 : 20週~24週
我提早一個多月前預約,安排23週去做檢查
點開台兒診所首頁下方就可以清楚看到 -->我要預約
選擇想要的時間,填寫好資料後,大約1~2天會有電話確認
第二胎肚子大超快的~~
應該是第一胎我的肚皮已經被撐大,第二胎就像氣球一樣
一下就很像吹氣變超大
預約的日期前幾天會收到提醒確認簡訊,點選確認預約就可以摟!
您約診的時間:2021/10/21 13:30
主治醫師: 張東曜 醫師
13:30到我有先吃飽過來,讓寶寶比較有活力
原本想說要買手搖,結果下雨時間快來不及,衝去便利商店買個草莓優酪乳放包包
朋友說等醫生叫你喝的時候,再來喝就可以了:))
新生兒高層次超音波 請先到9樓報到
填寫資料&繳費
櫃檯報到後,請孕婦本人註冊,可以從手機直接看到報告喔!相當的方便
這邊會量血壓、體重、體溫,繳費
高層次超音波 $5100 元
**只收現金**
價錢真的很不討喜,但高齡產婦醫生建議還是要做一下檢查比較好~
9樓等候休息區
位子相當的多,疫情期間有告知孕婦只能一位親人陪同
明拔想說小妞因為疫情很久沒去台北,讓她一起去
就變成我自己去照高層次,小妞跟明拔留在樓上等我好了請他們下來一起聽報告
兒童遊戲區
但小妞說無聊 哈 沒啥東西可以玩,然後明拔手機遊戲不離身不離眼,根本不會陪女兒玩
要帶大寶來的媽媽請三思,會變成自己去照高層次&大寶會很無聊,大約一~兩小時
我預約13:30,報到完到7樓準備做檢查
等待時,看到別人都有老公陪~只有我一個人
小小感傷
大約等到兩點多才開始
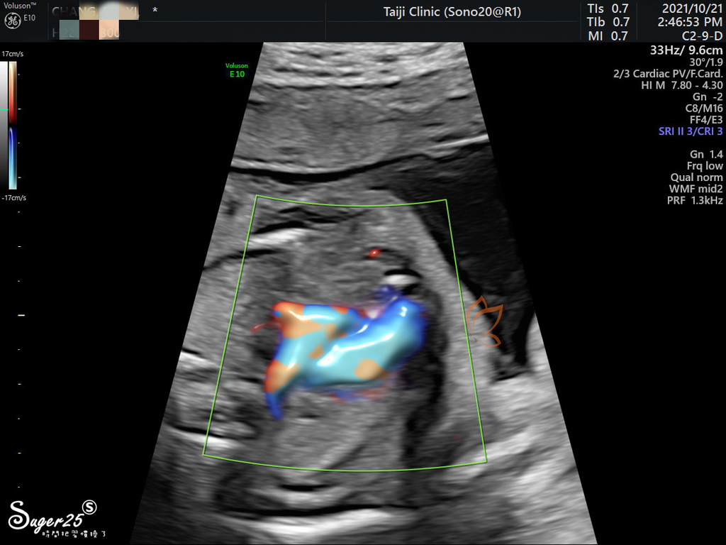
先做陰道超音波,看子宮長度
後面就是一直照肚子的高層次超音波摟!
躺在床上,有投影在天花板,可以看到超音波的畫面
張醫生來會大致上照一圈,一來馬上就開獎 : 是妹妹喔! 我覺得醫生比較用力一點點,但還可以接受的力道
後來就換成放射師幫我照,一一截圖,放射師比較溫柔一些
我最喜歡這張側面
感覺好清秀鼻子好像比小妞姊姊挺一點點,五官OK!健康沒有兔唇
在產檢時醫生有說可能是妹妹喔!當時小妞就超開心的,他原本想要弟弟,後來只想要妹妹
我覺得小孩的預測真的很準確,我問她說如果是弟弟呢? 小妞說 : 不要!!弟弟會吃黏土很可怕 哈
明拔也有做一個胎夢,明拔說 : 我夢到寶寶是妹妹,跟小妞長的很像很可愛,兩個一起玩
我怎麼都沒夢到胎夢 哈
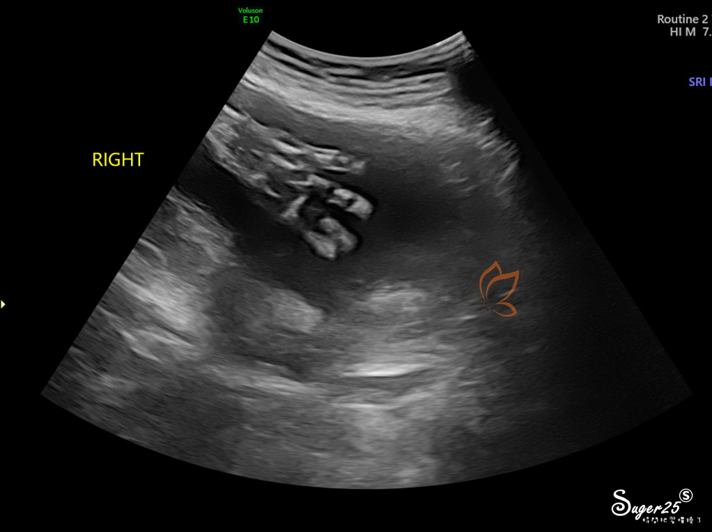
放幾張我比較看得懂的
這張好像蒼蠅 哈哈哈哈哈 是五官
器官血液靜脈動脈之類的畫面
脊髓
手臂
大腿
手指頭
照的真的很仔細,從頭到腳,還有身體所有器官、靜脈動脈...等,左右兩邊的手跟腳
大腦小腦~子宮頸長度
大致上寶寶都算合作,而且很有活力踢來踢去,放射師說很會踢喔!
當初Mia小妞在肚子也超會踢的~~妹妹活動力不輸給姊姊
最後有個小角度拍不到,請我下床走走~喝喝水,我拿起我準備的優酪乳喝個幾口,再躺上去照
跟寶寶說說話,就照到了
當天我覺得我是肚子最大的孕媽咪,大家肚子都好小喔!還很多人以為我要生了= =
照完後,請明拔跟小妞下來,醫生會跟我們講解檢查結果
報告結果 : 一切健康
就羊水指數有點快要超標,後續請產檢醫生追蹤一下
我猜可能是我剛吃飽吃很鹹,之後要克制一下才行,不要吃太鹹或太甜~~
會印出報告、給您胎檢袋裝回家
其他超音波圖,上官網點選都可以下載查詢:))
照完我們去信義區逛逛,順便吃下午茶 :D
明拔說 : 好險是女寶寶,如果是男生他應該瘋狂毒打<---超有事
都是明拔上輩子情人真好,雖然我沒有上輩子情人
有兩個貼心的女寶寶也很讚!!!比明拔好多了:D
23週
裡面有穿孕婦安全褲,感覺增加一點點厚度肚子看起來更大了
整體我覺得還不錯!只是高層次就是價錢貴了點~~心很痛 哈
知道寶寶一切健康一顆心就放下了,從懷孕開始~一直在破關卡
一開始真的覺得一男一女剛剛好,很希望是男寶寶,但這胎得來不易加上又是高齡產婦
看到寶寶健康一切都好值得,男女生都好我都愛
知道是女寶寶後,原本想說可以接受Mia姊姊的裝備省下來,但~覺得有點可憐還是要買一下才行
女寶寶真的很好買耶!!!!!!
想想姊姊是夏天出生,寶寶是二月過年後算冬天,還是要買些新衣服才行
默默又買了一些寶寶的髮帶、帽子、衣服...等,各種好買耶!!!!!!!! 哈哈哈哈哈哈
兩個女寶我跟明拔都很可以,如果兩個男寶我會瘋掉
購物欲望整個被燃起來,以後我們母女三人要穿母女裝,媽媽我好忙喔!!!!
台兒診所 高層次超音波 //
需預約!!!
地址: 台北市中山區中山北路二段162號4樓 ;台北捷運中山國小站步行五分鐘
營業時間:8:00~17:00 周日公休
電話: 02-2586-7873
((以上純屬個人自費心得分享 :))
恭喜幸運兒 趕快私訊領領獎 兒童含鈣健齒噴霧
請於2021/11/13(六) 23:59前私訊粉絲團&告知抽中的商品
提供收件資料 姓名+電話+郵遞區號+地址
*資料缺一、超過時間、勿標示他人/自己/截圖,否則取消資格
*S希望有認真追蹤的粉絲兒,趕快來領獎吧!!!
*統一一段時間寄出,請耐心等待,謝謝!
請加入 S Facebook & IG



























留言列表


